2017.01.01
なぜ人間の表情は世界共通なのか? 顔の動きに込められた秘密
2016.12.31
アカデミー賞も受賞した、伝説の海洋探検家ジャック・クストーの功績
2016.12.30
思ったよりもふっさふさ 科学の力が解明した、恐竜たちの本当の姿
2016.12.28
神秘的な現象「ダイヤモンドダスト」が起こる理由を科学的に解説
2016.12.28
COUNTA関数とCOUNT関数はなにが違う? エクセルの基本を解説
2016.12.27
エクセルの基礎知識 数値データを数える「COUNT関数」の使い方
2016.12.27
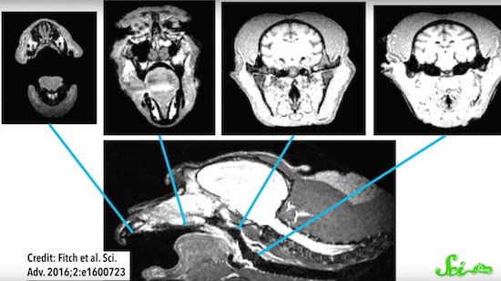
「理論上、猿は人間の言葉を話すことができる」定説を覆す研究結果
2016.12.26
これがエクセルの基本! 便利な「数式」について初歩から解説
2016.12.26
違法ドラッグ「LSD」でハイになった人の脳をスキャンした結果
2016.12.25
鎮痛剤は他人への共感も減らしてしまう?
2026.04.16
部下に「発言してもムダだ」と思わせる上司のNG行動 否定でも馴れ合いでもない、心理的安全性の高いチームの作り方
2026.04.14
週40時間以上の労働で、子どもを持ちたい意欲が急激に低下 育児や介護を“仕事を奪う敵”にしないための組織改革
2021.12.06
「結果的に生き残った人」が出世する、日本型人事管理の現状 才能を爆発的に開花させる“タレントマネジメントの未来”とは
2026.04.10
「できる社員」の燃え尽きや退職リスクへの打ち手 「超長時間労働」のコンサルで実現した働き方改革
2026.04.13
年配者の「若手を成長させてあげよう」というお節介 スキルアップにつながらない“がんばり”を強いる組織
2026.04.17
仕事はできるが「なぜか人がついてこない」理由 「オフィスの廊下に落ちているゴミを拾える人」には人がついてくる
2026.04.06
仕事ができる人の即レスと“自称仕事早いマン”の違い 相手の不安を解消する「深い即レス」の使い分け
2026.03.31
キャリアの転機はどう見極めるのか 「6つの数値指標」で見えてくる方向転換のタイミング
2015.11.24
人は食事をしないとどうなるか 餓死に至る3つのステップ
2026.04.07
若手社員の7割が「管理職になりたい」を選ばない 調査でわかった課題と打開策
“ぬるい”じゃない挑戦を生む職場づくりの新常識
2025.06.21 - 2025.06.21
【新時代のリーダーシップ】組織で自然と人を惹きつける人の5つの特徴とは
2026.03.11 - 2026.03.11
“がむしゃら”から“戦略的情熱”へシフトする「持続可能なハードワーク」とは? 第2弾!情熱を知で磨き、組織を進化させるー歴史の構造からみる、戦略的ハードワーク時代を生き抜く視点を学ぶ
2026.01.20 - 2026.01.20
【結論】即レスはなぜ難しいのか?その理由と対処法を教えます
2026.03.08 - 2026.03.08
「課題を解決しろ」が組織をダメにする!30名の指示待ち集団を「自律型チーム」に変えた、リーダーの思考法と実践策
2026.03.11 - 2026.03.11